AKP健食天

坏血病的真相

//坏血病//

18周六2021 年 9 月

发表于ggenereux未分类

≈ 4 条评论

标签

糖尿病,坏血病,维生素 C

征服坏血病和发现维生素 C 被吹捧为医学科学的伟大成就之一。

这是一个字典定义:

坏血病是由缺乏维生素 C 引起的疾病,维生素 C 是人体合成胶原蛋白所必需的。对于维生素C,抗坏血酸,化学名称是从坏血病,坏血病的拉丁名,这也提供了形容词衍生坏血病*. 坏血病通常最初表现为不适和嗜睡的症状,然后在皮肤上形成斑点、海绵状牙龈和粘膜出血。大腿和腿部的斑点最多,患有这种疾病的人脸色苍白,情绪低落,部分行动不便。随着坏血病的发展,可能会出现开放性、化脓性伤口、牙齿脱落、黄疸、发烧、神经病变和死亡。坏血病曾经在海上船只上的水手、海盗和其他人中普遍存在,时间超过了易腐烂的水果和蔬菜的储存时间,而且士兵们也同样长时间不吃这些食物。* 

资料来源:https : //educalingo.com/en/dic-en/scurvy

正如定义的那样,正如我们都被告知和相信的那样,坏血病是维生素 C 缺乏的结果。但这有什么道理吗?令人惊讶的是,没有多少。您将要了解的是,实际上有非常微弱的证据将坏血病与维生素 C 缺乏联系起来。您将了解到有非常令人信服的证据表明坏血病是由毒性状况引起的,而不是由缺乏症引起的。您很快就会意识到坏血病还没有被克服。相反,它刚刚被重新命名并用其他更现代的疾病标签重新命名。

为了调查坏血病的故事,我阅读并引用了这本书:

LIMEYS – 大卫 I. 哈维征服 SCURVY

大卫 I. 哈维 (David I. Harvie) 的书是一本很好的读物,并且很好地描述了航海时代坏血病的故事。他的书非常支持坏血病是一种维生素 C 缺乏症的说法。然而,他书的最后一章确实列出了一些驳斥维生素 C 理论的现代思想家和其他组织。

坏血病——水手的大病

我们需要考虑的最重要的证据之一是坏血病在海上航行时在水手中最为普遍和普遍。几乎所有关于坏血病爆发的历史记载都来自于各种航海探险的船员。虽然有“土地坏血病”的记载,但它们只占“暴发”记录病例的一小部分。

因此,在航海时代,坏血病几乎只限于对水手,尤其是英国海军的船员造成伤害。以至于调查坏血病原因和治疗方法的主要组织是皇家海军。由于坏血病被广泛认为是一种船上疾病,关于其原因的最有力的早期理论之一是,它是船上生活条件下寒冷潮湿和陈旧的空气。寒冷、陈旧的空气理论持续了 50 年或更长时间。皇家海军为其船只开发了更好的通风系统,以防止坏血病的爆发。然而,更好的通风系统在抗击疾病方面的效果微乎其微。

我们需要了解的第二个最重要的证据是坏血病的“爆发”通常在海上仅 6 到 8 周后就开始发生。非常奇怪的是,普通大众,甚至是在陆地上的水手,通常不会感染这种疾病。

然而,坏血病最严重的影响是在海上看到的,它是一种海洋疾病。 > > LIMEYS – 征服坏血病 – 第 18 页

James Lind——以及第一项重要的医学临床研究

被认为是最早的医学临床研究之一是 James Lind 在 1747 年进行的。Lind 正在研究一种可能的坏血病治疗方法。林德没有调查坏血病的原因,因为他认为他已经知道原因了。所以,他只是在寻找解药。

由于他对英吉利海峡舰队的实际观察,林德本人是那些倾向于相信寒冷、潮湿的海气是最重要的先决条件的人之一。 > > LIMEYS – 征服坏血病 – 第 86 页

如果您阅读过我的电子书和博客文章,您就会知道我并不是所谓的医学研究中使用的临床研究的忠实粉丝。我也不喜欢循证医学(依赖大数据集)。我有很多不喜欢临床研究的原因。最大的原因是,几乎完全依赖统计结果,研究人员通常甚至没有尝试使用真正的批判性思维和解决问题的技能。 

我不喜欢临床研究的其他一些原因是它们经常是欺诈性的,或者进行得如此糟糕以至于它们毫无意义。许多研究可能只是故意误导以促进其赞助商的经济利益。或者,更简洁地说;许多临床研究只是操纵制药行业的宣传。

不管我的个人观点如何,临床研究有效性的最终酸性测试是查看它们产生的真实世界结果。现在发表了数以百万计的同行评审临床研究,作为一个社会,我们的健康状况是否比 50 年前更好?不,我们不是。恰恰相反,我们只是病得更重了,在所有可以想象的方面都病得更厉害,而且死得更快。

Lind 的研究相当简单,仅用几段文字就完整地记录了下来。Lind 的研究包括 12 名男子,在海上航行时在名为 Salisbury 的船上仅持续了 14 天。

林德将 12 名生病的水手分成六对,并为研究的每个 2 人组提供不同的饮食补充剂。它们是:苹果酒、硫酸酏剂(稀释的硫酸)、醋、海水、两个橙子和一个柠檬,或泻药混合物。当然,我们肯定不会期望从硫酸酏剂(稀释的硫酸)、醋、海水或泻药混合物中获益。Lind 的研究中没有对照组。

林德声称,用两个橙子和一个柠檬治疗的两个人中的一个人已经康复,而另一个人只是稍微康复了。当然,没有长期随访来确定治疗是否只是让男性暂时缓解。因此,曾经声称维生素 C 可以预防和治愈坏血病的著名临床研究主要是基于仅一个人(可能两个)的症状暂时得到缓解。现代医学历史学家轻易掩盖的是,海军使用的基本饮食并非完全没有维生素 C。葡萄干和黑醋栗是这个时代船上的主食。甚至林德也在他自己的研究报告中记录了这一点。

*他们躺在一个地方,是前排病人的合适公寓;并且对所有人都有一种共同的饮食,即。早上加糖的稀粥;晚餐经常吃新鲜的羊肉汤;其他时候布丁、糖煮饼干;晚餐,大麦和葡萄干,米饭和黑醋栗,*西米和酒,或类似物。 > > 詹姆斯·林德 每人每周分配约 1 磅葡萄干。此外,黑醋栗实际上也含有相当多的维生素 C。一份 80 克的黑醋栗提供了几乎 200% 的维生素 C RDA。海军饮食还经常包括土豆和豌豆;维生素 C 的另一种来源。 还有一些现代人猜测林德实际上并没有进行这项研究,而是他可能只是编造了它。 资料来源:James Lind 和 Scurvy:历史上的第一次临床试验? <https://www.bbvaopenmind.com/en/science/leading-figures/james-lind-and-scurvy-the-first-clinical-trial-in-history/> 如果林德的研究确实是欺诈性的,这不是具有讽刺意味的合适吗?它肯定适合今天有这么多其他欺诈或被操纵的医学研究。 尽管如此,Lind 的研究还有另一个重大缺陷。尽管他知道坏血病主要是由于在船上引起的,但他只是在寻找一些治疗方法来治疗它。换句话说,他似乎没有考虑到在船上可能有未知的有毒物质(除了寒冷潮湿的空气)在起作用。因此,他的先见之明只是让他认为这种疾病是一种缺乏症。因此,他在饮食中添加补充剂,而不是有选择地从饮食中消除项目。 林德的研究结果如此乏味,甚至林德本人也并不真正相信橙子和柠檬具有预防坏血病的疗效。以至于在接下来的几十年里,他作为一名海军外科医生,一直在努力改善海军舰艇上的空气流通。同样,英国海军部又花了大约 100 年的时间才完全采用柠檬和酸橙作为预防坏血病的可能措施。但是,在同样的 100 年里,英国海军也发生了许多其他变化。我们稍后会讨论一个非常重要的问题。  同样重要的是,即使在英国海军采用柠檬和酸橙的供应作为某种标准做法之后,仍有一些探险活动完全无法防止坏血病的爆发。库克船长认为酸橙和柠檬对防治坏血病毫无用处。  > 我完全同意你的看法,柠檬和橙子的 rob(汁)的价格会阻碍它们的大量供应。但我认为没有必要;因为虽然他们可能会在其他事情上有所帮助,但我对他们本身并没有什么好看法。我也没有对醋有更高的看法。 > > 库克船长在 1776 年的一封信中。 没错。柠檬和酸橙根本不能可靠地预防坏血病,也不能经常治愈坏血病。柠檬和酸橙的使用产生了非常非常不一致的结果。如此之多,以至于即使在进行了几次大规模的实验后,皇家海军也从未断定它确实有效。这不奇怪吧?很明显,维生素 C 缺乏理论存在很大问题。 ==== 其他补救措施 ==== 还有其他的补救措施试图预防和治疗坏血病。就像今天一样,有骗子和欺诈者推销假药等等。   > 面对两个世纪以来关于坏血病治疗方法的相互矛盾的证据和传闻,如果完全不可原谅,海军部可能很容易依靠党派游说,使像约书亚沃德这样的“社会医生”能够获得他的授权的欺诈药丸。 > > LIMEYS – 征服坏血病 – 第 147 页 嗯……这是制药业游说实践的早期起源吗? 但是,与药丸不同,酸性和酒精饮料以及发酵食品是更常见的治疗方法。 > 查尔斯·比塞特 (Charles Bisset) 是另一位在爱丁堡受过训练的外科医生,曾在西印度群岛服役。在他 1755 年的论文中,他指责盐分和热量,并推荐蔬菜、葡萄酒、朗姆酒、烈酒,尤其是大米。 > > LIMEYS – 征服坏血病 – 第 86 页 有趣的是,用于坏血病的最常见和标准疗法之一是放血。 ==== 人类和豚鼠 ==== 医学科学的另一个伟大主张是,在地球上的所有哺乳动物中,只有人类和豚鼠不能内源性地合成自己的维生素 C。 声称经过数百万年的进化,我们人类不知何故失去了它所需的基因。因此,我们需要定期从食物或补充剂中获取维生素 C。这对你来说是不是有点怀疑?我的意思是说真的,我们是否应该相信低等的老鼠可以产生自己的维生素 C,而我们人类,处于进化或上帝创造顶峰的物种,却不能?也许,只是也许,“丢失的基因”理论只是更糟糕的科学?就我自己而言,在我的饮食中几乎没有维生素 C 大约 5 年后,我在 2019 年的实验室测试中出现了这个有趣的陈述。 奇怪吧?但是,看来我可能患上了坏血病诱发的肿瘤。 scurvytumor.jpg ==== 坏血病是一种缺乏病 ==== 即使经过最轻微的审查,坏血病是一种缺乏病的理论很快就会崩溃。再一次,这里出现的最大危险信号是该疾病通常在海上仅停留 6 至 8 周后就会发展起来。这根本不符合 15 至 20 世纪北欧生活的现实。如果由于缺乏维生素 C 导致坏血病在 6-8 周内发生,那么每年冬天至少有一半的欧洲和俄罗斯人口会死亡。当然,这从来没有发生过。再一次,因此维生素 C 理论一定是完全错误的。 如果我们考虑更现代的大量人口长期饥饿的例子,也会发现严重缺乏坏血病的记录。正如我在电子书中所写,二战时期德国和日本经营的战俘营都提供了明确的证据。特别是在日本经营的战俘营中,他们的囚犯通常每天只提供一杯白米。这些集中营里记载着各种传染病,许多囚犯被残忍地饿死,但几乎没有坏血病的记录。这怎么可能?根据维生素 C 缺乏理论,所有这些囚犯都应该在六个月或更短的时间内死于坏血病。 德国经营的战俘营也有点类似——几乎没有提到坏血病。但是,至少在德国经营的战俘营中,土豆是所提供食物的一部分,并且是一些维生素 C 的来源。然而,假设土豆是煮熟的,它们只会提供声称的一小部分维生素C的每日需要量。 我们可以添加来自世界各地的许多其他例子作为证据。这里只是想到的几个。 * 非洲的马赛人,其传统食物主要是奶牛的血和奶。没有维生素 C 的来源,但没有坏血病。 * 加拿大北部的因纽特人,他们一生都没有任何维生素 C 来源。然而,没有坏血病。 * 多年来,人们只遵循肌肉肉食者的饮食习惯。没有维生素 C 的来源,但没有坏血病。 * 我自己的经历。在过去的 5 年里,我的饮食中几乎没有维生素 C,但我没有坏血病的迹象。相反,我的牙齿和牙龈现在可能是过去 20 年来最健康的。 那么,这里到底发生了什么?答案是坏血病是一种维生素 C 缺乏症的理论显然是错误的。好吧,如果坏血病不是一种缺乏症,那么它是什么?我们认为它是由急性中毒引起的如何? ==== 坏血病是一种急性中毒 ==== 从 18 世纪到 20 世纪,海军面临的主要挑战之一是为船只提供足够的食物储备,以供可能进行多年的远征。与其说是需要供应大量食物,不如说是试图保存并防止它在海上迅速变质。使用巴氏杀菌的罐头直到 1862 年才被发明,直到 1880 年代后期才广泛使用。直到 20 世纪中叶,蒸汽动力制冷才被用于船上。因此,船上的一些主要食物是咸牛肉和猪肉、燕麦、啤酒、非常干的饼干和一种叫做“便携式汤”的东西。 === 便携式汤 === 什么是“便携汤”?来自维基百科: > 便携式汤是一种在 18 和 19 世纪使用的脱水食品,起源于英国。它是肉提取物肉汤块的前身,也是工业脱水和速食食品的前身。它也被称为口袋汤小牛肉胶*。*  非常值得注意的是,近 200 年来,便携式汤是皇家海军舰艇的主要和标准供应品。坏血病在皇家海军中最流行多久了?大约相同的 200 年! > 1757 年,英国人开始在他们的船上备有“便携式汤”。[307] “便携式汤”由“在伦敦为海军使用的所有牛的内脏”组成,并添加了盐和蔬菜。[308]然而,汤是干的,所以看起来像块的胶水。[309]虽然“便携式汤”没有胃口,但它对海军来说是完美的,因为它有多年的保质期。[310]除了每次航行开始时储存的补给品外,船舶还经常在外国港口和土地上交易额外补给品。[311]特别是,大米、Wince 和其他硬质酒精在交易时特别有价值。[312] > > 资料来源:https : //dash.harvard.edu/bitstream/handle/1/8852139/Mayberry.html?sequence=2 什么是牛的“内脏”?好吧,他们简直太可怕了。  > 内脏是一个相当广泛的术语,它不仅包括内脏和内脏,还包括动物的杂碎。它基本上包括除肌肉和骨骼之外的所有内容。 > > 来源:https : //www.chefs-resources.com/types-of-meat/offal-varieties/ 便携式汤对我来说听起来很恶心。但是,它不可能那么糟糕,因为这种“便携式”汤在近两个世纪以来一直是英国海军和商船的绝对主食。  便携式汤可能还被用于浸泡和软化坚如磐石的饼干等海军主食。 > 它配有一磅船用饼干。硬的 1/4 磅面粉盘,烘烤 2 或 3 次,直到所有水分完全消失。男人会浸泡这些,通常将它们放入炖菜中,或者让他们从肉类配给中吸收汁液 > > 资料来源:https : //www.warhistoryonline.com/history/how-royal-navy-fed-sailors.html 为了使其“便携”,汤是照常制作的,然后通过长时间加热减少汤,直到它变成凝胶状并变干。让我们看看这里;服用含有高视黄醇和视黄酯的肝脏和肾脏并在高温下(足以驱散蒸汽)长时间煮沸?那可能有什么问题?大量生产视黄酸怎么样? ==== 坏血病真的是视黄酸中毒吗? ==== 再一次,我们真正需要意识到的重要一点是,水手通常在出海后的 6 到 8 周内就会患上坏血病。但是,根据全球和现实世界的数据,我们知道这种疾病从缺乏症发展起来的速度太快了。那么,如何考虑直接接触视黄酸的压力测试案例?这只是一个这样的例子:来自: === 尼基塔 2006 年 9 月 4 日发布 === > 嗨, > 我已经服用了 2 周,现在大约一个星期了,我的牙龈真的很痛,发红,有时流血。有没有人在 tane 期间经历过这种情况?这是我的第二个疗程,我以前没有经历过,也从未听说过它有副作用,所以我想我会检查是否有其他人有过它,或者我是否应该去看牙医检查一下! > 提前致谢。 > > 来源:https : //www.acne.org/forums/topic/114246-accutane-and-sore-gums/#comment-1332133 你可以很容易地找到更多这样的关于快速诱发牙龈疾病的 Accutane 的第一手资料。例如:https : //www.google.com/search?q=receding+gums+accutane+site : www.reddit.com ==== 富兰克林探险队和铅中毒 ==== “便携式汤”会变得更毒吗?嗯,是的,它可能而且很可能是。便携式汤以及其他一些提供的食物被包装在锡罐中,其中的接头用铅基焊料密封。所以,我们可能在谈论视黄酸和铅中毒相结合。这一理论得到了著名的富兰克林探险队(过去 170 年来在加拿大的冰冻苔原保存完好)的船员遗骸中铅中毒的现代发现的支持。 ==== “土地坏血病”呢? ==== 到目前为止,我主要讨论了水手在海上时患坏血病的问题。土地坏血病怎么办?确实有不少非水手患坏血病的报道。那么是什么导致了这些情况呢?好吧,我们需要意识到“便携式汤”并不是皇家海军专用的。它也被卖给了普通大众。 > 至少从 1746 年 11 月开始,伊丽莎白·杜波依斯夫人就一直在英国报纸上宣传她的便携式汤的销售,当时它们似乎首次在英国上市。 > > 资料来源:https : //georgianera.wordpress.com/2014/11/20/portable-soup-as-supplied-by-mrs-dubois-to-the-royal-navy-in-1756/ 但是,当然,便携式汤不可能导致所有的土地坏血病。我们确实知道,在这个时代,吃器官肉在英国也是一种很普遍的做法。 好吧,在北美呢?嗯,在这个时代,我们需要了解另一种成熟的半工业规模运营。那是收获鳕鱼肝和鱼肝油。这是加拿大早期档案中这种做法的草图和历史记录。 > 绘制在美国地图的一侧,这是纽芬兰鳕鱼捕捞站的唯一现有图像。从卡博特时代开始,或许更早,欧洲渔民的船队就航行到岸边,他们很快发现,如果他们在岸上设立站对捕获的鱼进行拆分、盐腌和干燥,他们可以停留更长时间并带回更多的鱼。其中一些人可能已经越冬。这本来是美国人从欧洲人那里获得贸易商品的早期来源。 image.jpeg * 在新发现的土地上钓鳕鱼和晒干鳕鱼的舞台和捕鱼方式。 * A. 渔夫的习惯(衣服、连帽外套、靴子和围裙) * B. 线 * C. 捕鱼的方式(木桶挂在船舷上,渔民站在里面) * D. 鱼的梳妆台 * E. 穿好衣服后把鳕鱼扔进的槽 * F. 盐盒 * G. 携带鳕鱼的方式 * H. 洁净你的鳕鱼 * I. A Press 从 ye Cod Lives 中提取 ye Oyl  * K. 接收来自肝脏的水和血液的木桶 * J. 另一个接收 Oyl 的木桶 * K. 干鳕鱼的方法 一些渔民从他们捕获的鱼中收集油用于烹饪。 <https://csphistorical.com/2016/01/24/salt-pork-ships-biscuit-and-burgoo-sea-provisions-for-common-sailors-and-pirates-part-1/> 因此,看起来ye Cod Lives 的 ye Oyl被用于北大西洋贸易和当地烹饪。但是,你们收获的这些鳕鱼肝怎么了?  它通常被放入桶中,在烈日下发酵,发酵所得的糊状物后来用作吐司上的涂抹酱。嗯,嗯?   过去 400 年来,加拿大的罐头和食用鳕鱼肝的做法似乎一直在进行,直到今天仍然如此。当然,这种做法不仅限于加拿大东海岸,在挪威和斯堪的纳维亚国家也几乎同样存在。以下是一些当前可用产品的示例。 <https://www.amazon.com/s?k=canned+cod+liver> 抱歉,我不提供任何折扣代码。 接下来,我们还有来自<https://dash.harvard.edu/bitstream/handle/1/8852139/Mayberry.html?sequence=2&isAllowed=y>的“土地坏血病”的另一个描述 > *十字军,然而,提供13期间一个写入帐户的坏血病的一例^个^世纪。[133]在大斋期间,当士兵们戒除肉类(鳗鱼除外)*并限制他们的饮食时,坏血病很可能会爆发,因为“理发师被迫从牙龈上切掉死肉,使人们能够咀嚼食物。 ” [134]然而,据指出,十字军认为这种疾病是由食用鳗鱼引起的,鳗鱼据说吃了死者。[135]

嗯,我不知道鳗鱼吃死人,但我知道鳗鱼非常油腻,而且维生素 A 含量也很高。

坏血病的现代爆发 

即使确定维生素 C 可以预防和治疗坏血病,现代疾病仍然会爆发。

在加拿大,1945 至 65 年期间,奶瓶喂养婴儿食用淡奶(当时缺乏维生素 C)时坏血病爆发。 > > <https://www.thecanadianencyclopedia.ca/en/article/scurvy>

和:

婴儿坏血病出现在 19 世纪后期,因为儿童被喂食经过巴氏消毒的牛奶,

巴氏杀菌牛奶和“便携式汤”有什么共同点?我敢打赌,它很可能只是视黄酸。

万岁 – 坏血病已被征服并治愈! 

是的,我们都被引导相信坏血病已经被征服并几乎完全根除。但是,真的是这样吗?嗯,很可能不是。从广义上讲,坏血病表现为两种主要疾病: 

  1. 牙龈肿胀、出血,导致牙齿松动,最终牙齿脱落。
  2. 下肢溃疡和水泡。

然而,这些相同的原发性坏血病在今天不是仍然很常见吗?哦,是的,它们确实是:

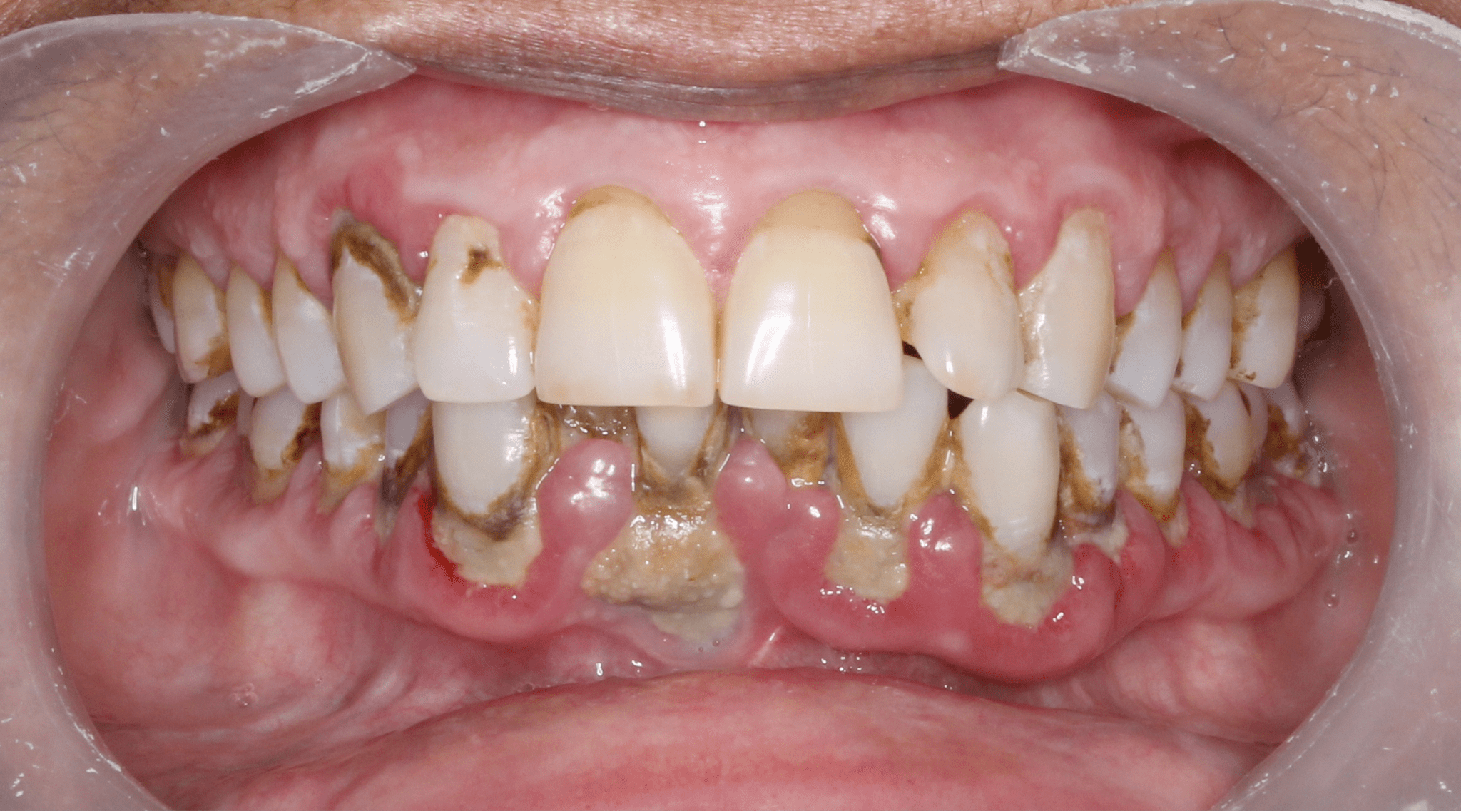
牙龈炎和牙龈疾病

  • 牙龈疾病。很大比例的老年人患有牙龈疾病。大约三分之二 (68%) 的 65 岁或以上成年人患有牙龈疾病。

我们来看看一些现代的糖尿病性牙龈疾病怎么样? 

**糖尿病牙龈疾病的常见体征和症状**

  • 刷牙时流血的红色和肿胀的牙龈
  • 黄色斑块沉积
  • 牙龈有脓液,牙龈有压痛或肿胀
  • 牙齿的活动度
  • 嘴里一直有臭味

接下来,这是早期关于坏血病对下肢影响的图画。显然,该疾病有一些明显不同的表现。一个是深棕黑色的水泡,另一个是发炎和坏死的肉。

资料来源:石灰和坏血病的治疗 – JaneAusten.co.uk

但是,这些图像与今天普遍报道的糖尿病溃疡几乎不完全相同吗?请自行判断。

“糖尿病性皮肤病(皮肤斑点)是与糖尿病相关的最常见的皮肤病。类似于类脂坏死病,它在胫骨上呈现红棕色斑块,但它们的大小通常要小得多(0.5 到 1.0 厘米),而数量要多得多(5 到 10 个或更多病变)。皮肤斑点逐渐消退,留下棕色、萎缩的疤痕。它们被认为是由血管疾病引起的,但与糖尿病的程度或持续时间无关。”

“腿皮疹是糖尿病的常见症状,可以由多种原因引起,并且可以预防。”

资料来源:https : //diabetestalk.net/diabetes/how-to-treat-diabetic-rash-on-legs

一名 54 岁男性患有 2 型糖尿病 

Necrobiosis lipoidica 是一种不寻常的皮肤病,与糖尿病密切相关。

资料来源:https : //www.aafp.org/afp/2003/0101/p139.html

糖尿病腿溃疡:

来源:https : //dermnetnz.org/topics/leg-ulcer

所以,不,“坏血病”还没有被征服。它刚刚更名、更名并隐藏在牙龈炎、牙龈疾病和糖尿病等现代疾病标签后面。

在西方社会大量补充维生素C的今天,为什么我们的“坏血病”发病率仍然如此之高?很明显,“坏血病”,也就是糖尿病,不是维生素 C 缺乏症。另一种说法,“坏血病”是大大加速的糖尿病。无论哪种方式,“坏血病”和糖尿病都是中毒的结果。

请考虑一下,并在您认为合适的情况下发表评论。

谢谢

讨论列表 查看原帖及回帖